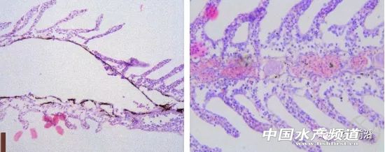
| 中國水產頻道原創報道, 受疫情抬頭影響,昨天水產前沿加州鱸報價,多地魚價出現下跌,但部分地區逆勢暴漲,最高賣到23元/斤.......無論市場風云如何變幻,毫無疑問,加州鱸仍是水產界十好看好的品種,未來魚價還有漲...... 2020鱸魚養殖如何規避風險,同時又能保障在10月前出頭批魚是值得每個養殖戶深思的問題 文/海大集團華東大區鱸魚項目組/宿遷海大楊仕豪 相對于2019年蘇北地區加州鱸養殖的順風順水,2020年的鱸魚養殖可謂是一波未平一波又起。暖冬氣候加上疫情的影響,大部分客戶在早春放苗時就蒙受苗種傷亡的損失。進入5月份,水質的無常變化又極大地影響著投喂率。剛熬過5月加不上料的焦慮,6月份的梅雨季節又接踵而至,大部分塘口又開始新一輪的死魚。 6月中旬多為陰雨天氣,為魚病暴發提供了良好條件 宿遷海大鱸魚團隊在5-6月對鱸魚塘口進行了近200次塘口打樣工作,主要圍繞鱸魚體質及池塘水質進行調查。本文主要圍繞打樣過程中發現的體質問題進行剖析,以期為鱸魚養殖客戶的病害防治工作提供參考。 一、鱸魚圍心腔出血病 鱸魚圍心腔出血病主要癥狀為心腔內出血或充盈血塊,同時可見鰓絲與鰓弓交接處有黃豆大小血色增生物,形似“血竇”,故此病又俗稱“血竇病”。結合往年發病規律,該病多發生水溫高于30℃的7-9月份,但今年團隊在打樣過程中發現有近20%左右塘口已經發生該病,且死亡率較往年更高。 鱸魚心腔充盈黑色血塊 鰓絲與鰓弓交接處有黃豆大小增生,俗稱“血竇” 目前鱸魚圍心腔出血病病因多歸結為外源刺激性因素(殺蟲劑、刺激性消毒劑、強對流天氣等)引發血液循環障礙,從而引起近心端的鰓組織血管充血腫脹,嚴重時心腔大面積淤血導致鱸魚死亡。對發病塘口進行調查發現在發病前均使用過殺蟲劑或強氯精等強刺激性藥物,且發病前天氣異常,水層上下溫差大,這些因素共同導致鱸魚圍心腔出血病的發生。該病的預防要注意對規格較小的鱸魚應避免使用強刺激性藥物,在天氣異常時使用抗應激的產品全塘潑灑以減輕鱸魚應激反應,同時打開增氧機降低水層溫差。 對于已經發病塘口,首先要對受強刺激的鱸魚進行解毒抗應激操作,同時內服保肝護膽類藥物5-7天可有效緩解病癥。 二、細菌性爛鰓病 近期陰雨天氣為致病菌的滋生營造了良好的條件,此時若塘口消毒不及時或鱸魚體質偏差,就極易感染柱狀嗜纖維菌等細菌引發爛鰓,爛鰓鱸魚對水體的溶氧吸納能力逐漸降低。隨著病程的推后,鱸魚喪失納氧能力,最終導致鱸魚死亡。 鱸魚細菌性爛鰓的典型癥狀是鰓絲末端腐爛,掛臟 爛鰓病理觀察,左圖發病鰓絲對比右圖正常鰓絲出現大面積空洞,納氧能力幾乎喪失 鱸魚細菌性爛鰓病的診治要區別于寄生蟲性爛鰓,兩種疾病的病原差異很大,治療方案也完全不同。細菌性爛鰓的預防需要對塘口定期消毒,消毒后24小時且天氣晴好時使用發酵活性菌類產品進行有益菌的占位,抑制有害細菌繁殖,降低發病概率。在陰雨等惡劣天氣后及時使用聚維酮碘等溫和消毒劑消毒處理。 對于已發病塘口,除了上述消毒方案外,建議內服氟苯尼考+多維類產品,連用3-5天。其中氟苯尼考需要在吃食較好的一餐喂下,保證藥物濃度的足量。 三、爛嘴、爛尾 陰雨天除了易引發細菌性爛鰓,還有一種細菌性疾病也可能暴發引起鱸魚死亡。它就是柱狀黃桿菌引起的加州鱸爛嘴、爛尾病。病魚在發病前期癥狀不明顯,幾乎沒有死魚。待病程后期發現死魚時,癥狀就很容易觀察,主要表現為嘴部上下頜出血、潰爛,尾巴分叉甚至缺失,其中爛嘴一般要早于爛尾。 柱狀黃桿菌引起的鱸魚爛嘴 柱狀黃桿菌引起的鱸魚爛尾、死亡 該病病原與細菌性爛鰓病原同為革蘭氏陰性菌,防治手段也較為接近。除了上述的定期消毒、EM菌等產品抑制有害菌以外,還要特別注意寄生蟲對該病的誘發作用。當魚體有較多指環蟲、車輪蟲、錨頭蚤寄生時,鱸魚感覺不適,會出現擦網、狂游等現象,此時嘴部、尾部最易受傷破損,從而使柱狀黃桿菌有了可乘之機。 對于已發病鱸魚,首先要檢查是否有大量寄生蟲附著,有蟲先殺蟲。沒有寄生蟲或殺蟲后,使用聚維酮碘消毒,同時內服氟苯尼考+多維類產品,連用3-5天。 四、錨頭蚤寄生 蘇北地區大多塘口有著鯽魚養殖的歷史,池塘塘底包括外源水都含有大量錨頭蚤蟲卵,這些蟲卵在水溫適宜時便孵化并寄生于魚體。輕者影響鱸魚攝食,重則引發細菌感染導致鱸魚死亡。 鱸魚背鰭大量錨頭蚤寄生 錨頭蚤引起鱸魚爛身、死亡 錨頭蚤作為一種容易發現和防治的寄生蟲,卻導致有些鱸魚塘口大面積死亡,很重要的一個原因就是套養魚放的不科學。在對錨頭蚤大量寄生的鱸魚塘口調查會發現一個規律——套養鯽魚密度往往超過300尾/畝。鯽魚作為一個錨頭蚤蟲卵攜帶者和易感者,極易把錨頭蚤傳染給鱸魚。打樣過程中也能看到鱸魚錨頭蚤多的塘口,鯽魚體表的錨頭蚤會更比鱸魚嚴重。此外存塘鯽魚過多時,由于其過于饑餓會在底層大量活動找食,從而導致塘口水質渾濁,影響鱸魚攝食。建議在鱸魚塘口放配養魚時,降低鯽魚密度至150尾/畝以內,同時也可套養一定數量的黃顙魚對錨頭蚤進行生物防治。 對于已經有錨頭蚤寄生的鱸魚塘口,可選用主要成分為蜂房芽孢桿菌的藥劑殺滅錨頭蚤。同時注意在用藥4天后使用聚維酮碘全塘消毒處理,避免錨頭蚤脫落后裸露的傷口被細菌感染。 五、加州鱸魚塘6-7月份池塘管理建議 2020年鱸魚難養已經是不爭的事實,建議養殖戶朋友們把魚病防治工作做在前面,等到魚發病了再采取措施往往會造成一定的損失。具體的工作可分為以下幾個方面: ①定期改底 隨著水溫的升高及投喂量的加大,池塘底部環境會日趨惡化,病原菌也會大量滋生。建議5-7天進行一次改底。在改底產品的選用上,除了過硫類化學底改產品外,建議定期使用生物類型底改產品,一方面增加底部溶氧,緩解塘底氧債;另一方面所含生物成分高效分解底部有機質被藻類利用,達到底凈、活藻、防水體老化作用。 ②適時消毒 近期雨水較多,降雨過程會造成池塘返底,大量有害病原物質會隨著返底被帶到鱸魚活動的中上水層,導致鱸魚發病。建議在雨后或其他異常天氣后盡快使用聚維酮碘等刺激性較小的消毒藥物進行全塘消毒處理。若天氣長時間保持正常,也要在10天左右進行日常消毒。 ③合理殺蟲 當前水溫徘徊在23-28℃之間,這個水溫較為適宜寄生蟲滋生,常見的包括指環蟲、車輪蟲、錨頭蚤、杯體蟲等。建議15天左右使用阿維菌素、苦參堿等溫和性殺蟲劑預防寄生蟲害。同時也要定期打樣檢查,有蟲寄生時及時給藥,防止鱸魚傷亡。 ④重視保健 魚體質健康程度決定著發病率的高低,同樣的塘口有些魚在發病有些魚卻不發病就是這個道理。鱸魚作為“先天性糖尿病患者”,對飼料中的淀粉極為敏感,更需要關注其體質的健康狀況。建議養殖戶朋友們定期拌喂多維、中草藥提取物等產品,保障鱸魚肝臟、腸道的健康,促進鱸魚吃食。 |

| 重點推薦 |
| |
免責聲明:
1、凡本網注明“來源:水產前沿網”的所有作品,均為水產前沿網合法擁有版權或有權使用的作品,未經本網授權不得轉載、摘編或利用其它方式使用上述作品。已經本網授權使用作品的,應在授權范圍內使用,并注明“來源:水產前沿網”。違反上述聲明者,本網將追究其相關法律責任。
2、凡本網注明“來源:XXX(非水產前沿網)”的作品,均轉載自其它媒體,轉載目的在于傳遞更多信息,并不代表本網贊同其觀點和對其真實性負責。
3、如本網轉載涉及版權等問題,請作者在15天內來電或來函與水產前沿網聯系。聯系方式:020-85595682。
