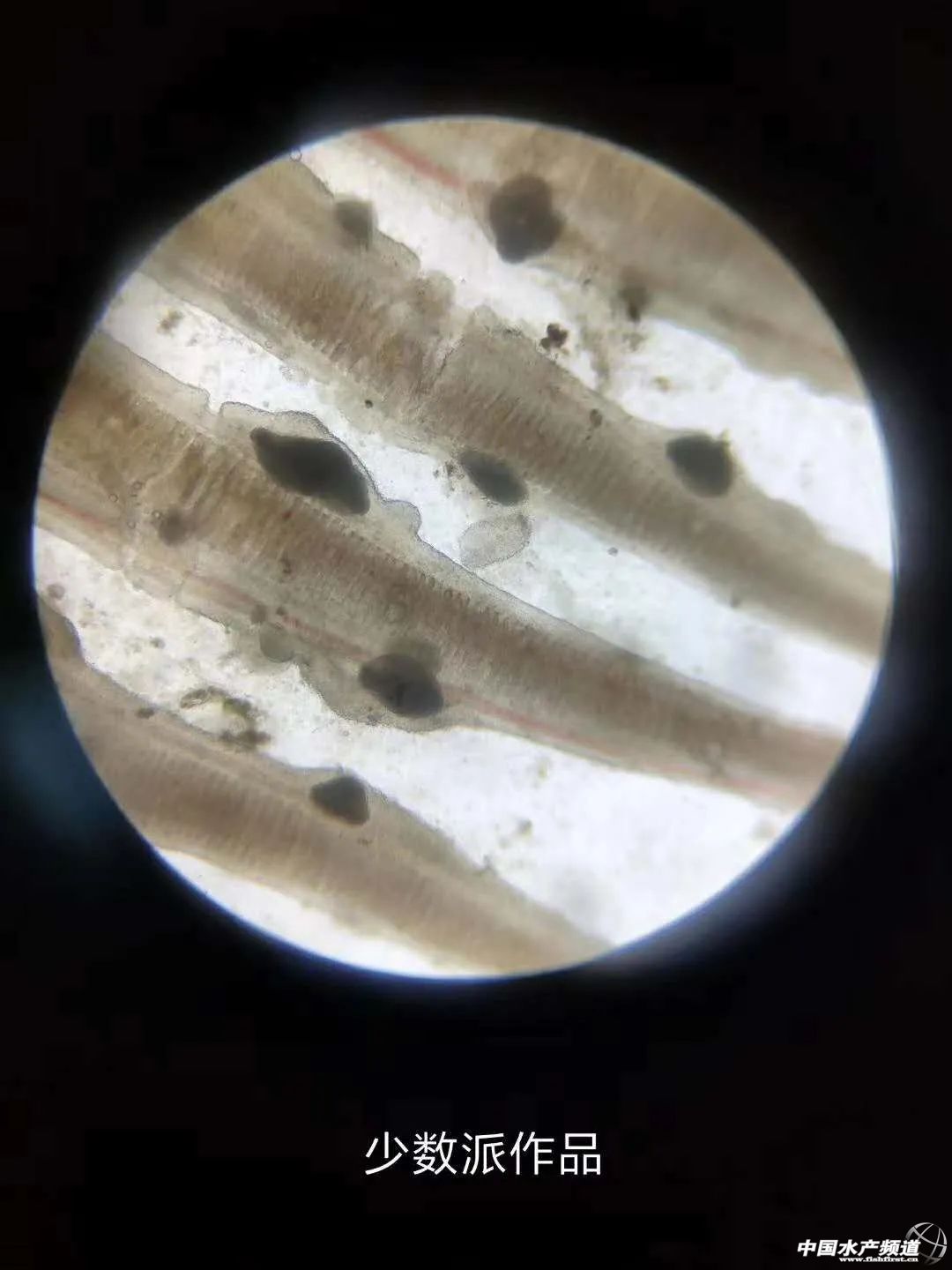
| 中國水產頻道報道, 要賺錢嗎?緊急防控小瓜蟲、防臺風、防盜賊是關鍵! 文/ 中國水產頻道 張紅 新魚大量上市,價格太亂?! 真是3年河東、3年河西!前一陣,很多水產養殖品種價格跌的跌低迷的低迷,很是羨慕金鯧魚一路高歌前進。現在,不少金鯧魚養殖戶吐槽,多數魚蝦價格大漲甚至暴漲,但金鯧魚不漲反跌......沒錯,這就是市場,沒有總是漲的品種,也沒有總是跌的品種,受供需關系影響,價格漲跌實屬正常不過了。 同時養殖戶也表示,近期魚價低還大亂,收購商壓價嚴重,各地魚價高低不一,讓人看不透。 其實,魚價振蕩下滑和亂,原因一是上市增多,二是部分海區出現小瓜蟲,發病上市的魚增加,魚價自然不好,還有同一海區的養殖戶擔憂感染小瓜蟲,緊急賣魚,正常的價格也被拉低。 時至8月初,春投苗上市金鯧魚大的有8兩多規格,小的也有4-5兩。 今天上市的金鯧魚 今天(8月2日),筆者了解到,湛江地區7兩-7.5兩規格的冰鮮魚價為11.3元/斤;7.5-8兩11.5元/斤。廣西北海鐵山港8兩上規格冰鮮魚價12.2元/斤;7兩上規格為11.6-11.8元/斤;6兩上規格為11.2元/斤。欽州地區由于小瓜蟲襲擊比較嚴重,魚價總體偏低,但目前小瓜蟲已減少許多,魚價在慢慢恢復,比一周前的魚價已好很多:5兩上目前賣到9.5-9.8元/斤。另外海南的魚最大也有7-8兩了,價格也在11-11.2元/斤左右,與湛江地區差不多。 警惕!局地金鯧魚“癌癥”爆發,快防控! 今年以來,不只是欽州港,不少港區都出現局部性小瓜蟲爆發現象,這個稱之為金鯧魚“癌癥”的病蟲害,的確令人擔憂。對此,中國水產頻道資深網友@少數派追蹤顯示, 小瓜蟲的危險:小瓜蟲的生活周期約七天左右:滋養體期(幼蟲到成蟲的生長期,約四天左右);包囊前期(準備成熟,約一天時間),包囊期(已成熟,無性繁殖幼蟲,數小時或半天時間),幼蟲期(一天時間)。 海區群體性小瓜蟲從爆發到衰落,整個周期在20天左右。 小瓜蟲在鰓絲寄生后,刺激魚鰓分泌了大量粘液,粘液包裹了鰓絲,導致呼吸困難甚至窒息,從而厭食或死亡。 高溫期間鏈球菌大范圍的感染,會導致金鯧抵抗能力下降,感染小瓜蟲機率大幅提高,死亡率非常高。 盜賊也盯上金鯧魚,還有臺風嗎? 日前,本平臺報道湛江遂溪草潭金鯧魚網箱遭遇盜賊偷搶,幸虧發現得早,才沒有造成太大的損失。【詳情:囂張!昨晚10點半,6條大船瘋狂“盜搶”網箱魚!盜賊家起洋樓,養戶要破產虧上千萬】然而,在這一次幸運背后,已不知有多少人的多少魚被偷搶去了,損失千萬、百萬、數十萬等的大有人在。目前各海區的金鯧魚已長大,進入了盜賊的視線,提醒養殖朋友提高警惕,注意加強巡邏防盜防賊,以免辛苦的血汗錢進了別人的口袋。 |

| 重點推薦 |
| |
免責聲明:
1、凡本網注明“來源:水產前沿網”的所有作品,均為水產前沿網合法擁有版權或有權使用的作品,未經本網授權不得轉載、摘編或利用其它方式使用上述作品。已經本網授權使用作品的,應在授權范圍內使用,并注明“來源:水產前沿網”。違反上述聲明者,本網將追究其相關法律責任。
2、凡本網注明“來源:XXX(非水產前沿網)”的作品,均轉載自其它媒體,轉載目的在于傳遞更多信息,并不代表本網贊同其觀點和對其真實性負責。
3、如本網轉載涉及版權等問題,請作者在15天內來電或來函與水產前沿網聯系。聯系方式:020-85595682。
