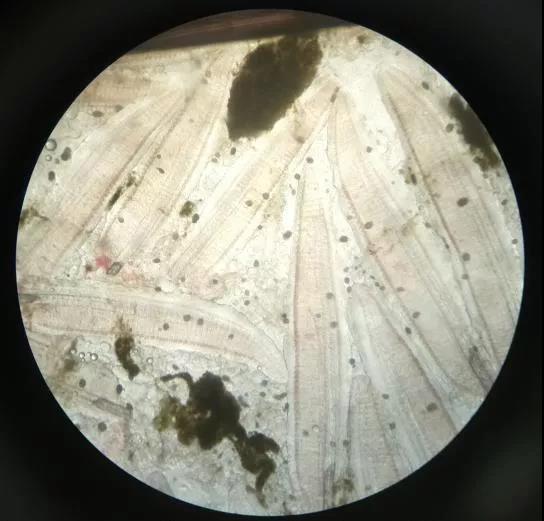
文/圖 福建海大 羅后兵 編者前言 最近加州鱸海鱸養殖都碰到了突然大幅度減料乃至不吃料的情況,養殖戶們用盡了各種辦法,換水、改底、消毒、殺蟲,通通都收效甚微,越用藥越不吃,甚至出現了亂用藥導致損失較多的情況。這個到底是什么原因引起的?又該如何根治處理?水產前沿特約“羅后兵專欄”作者羅工,和大家分享成功經驗。 水產前沿網原創報道,加州鱸、海鱸(下文統稱為鱸魚)的大面積養殖都超過了十年,所遇到的問題也越來越多。最近很多池塘頻發不吃料,極難處理的普遍特征是: 1.魚在水面沖水,甚至跳躍出水面,又不是浮頭的癥狀。 2.膽子極小,很容易受到驚嚇。正常人經過就會引起一片跳躍。 3.喂料開始時魚會聚集,但很容易“炸群”,忽然一哄而散。 喂料極易炸群 4.最近寒流影響溫度下降,大多數池塘都會吃料量下降。但有上述癥狀的池塘,幾天內就會下降到原來的1/5甚至完全不吃。同比隔壁池塘卻吃料正常。 5.反復發作,用藥后可能稍稍好轉,一段時間后又不吃料。 6.很多病魚伴隨爛身、紅頭紅嘴、諾卡氏等癥狀,消毒和內服卻基本見不到效果。這些細菌性疾病是越高溫越嚴重,但現在是降溫死魚更多。 最近鱸魚爛身多 如果碰到的癥狀和上面描述有些類似,那么請仔細看下去了。本文不是和大家講理論,是分享最近的實踐防治心得。 病因檢測分析 不吃料、炸群、沖水,這些都是病癥,是結果,關鍵要找到原因,并且還是共性的原因。比如某些養殖戶喂得過飽導致不吃料,那只是個例,不能作為大面積處理的根據。我們要從幾十上百個此類池塘找到共同的病因,并且從處理的效果反推驗證分析是否正確。基于這個原則,羅工現場檢測出現這種情況的眾多池塘,進行深入分析驗證: 1.水質:很多很多水質好的池塘也會出現這種情況,因此排除水質諸如pH氨氮亞硝酸等原因。還有一個現象是,越換水魚越不吃,更證明此路不通。 2.管理:經過投餌率和養殖習慣等分析跟蹤,排除喂料不科學和其它管理漏洞方面的因素。很多養殖超過20年年年賺錢的養殖戶也照樣出現這種情況。 3.魚體檢測:這里劃重點! ①健康魚檢測:通過地籠或者其他辦法捕捉的健康魚,99%未發現任何異常! ②病魚檢測:抓靠邊或者沖水的病魚,發現有一個100%的共性癥狀:車輪蟲或者杯體蟲。需注意的是,即使是病魚,肝臟和腸道大多數都是正常的! 大多數魚肝臟都正常 吃料雖不正常,但是無腸炎 一定要強調一下:每個池塘都會有各種各樣的癥狀,比如爛身、爛鰓、諾卡氏也是經常碰到,但是每種癥狀出現的幾率都不足3成! 鱸魚爛鰓 不普遍的癥狀當然算個案,不能作為共性原因!還有就是北方的朋友如果是降溫導致每個池塘都不吃料,就不要和羅工扛了。 治療效果跟蹤 檢驗真理的唯一標準就是實踐,那么我們來看實踐效果: 1.消毒:各種消毒劑輪番上陣。本來還能吃10包,越消毒越不吃。著急之下,藥越用越狠、藥量越用越重,魚就完全不吃了!至于魚的沖水問題,也是愈演愈烈,從個別條沖水,到嘩嘩一片。 2.解毒:有機酸維C等等粉墨登場。解毒第二天,魚沖水少了,吃料回復一些,似乎對路了?別高興太早,最多第四天就會一夜回到解放前。再次解毒,就會發現效果越來越不明顯,見效時間越來越短。 3.改底:過硫酸氫鉀、過氧化鈣、腐植酸沸、石粉等等強力改底。和解毒類似,但效果比解毒強不少,只是復發率太高。 4.殺指環蟲: 指環蟲 養鱸魚的都知道,指環蟲是藥店和老養殖戶最愛殺的寄生蟲,沒事也要殺兩回。一條魚的鰓部看到1/2條指環蟲,大呼小叫的把鍋全部給指環蟲背的“磚家”數不勝數。你看看,有指環蟲,所以不吃料所以沖水。卻對指環蟲的危害、發病機理、發病后果避而不談(當然也可能是一無所知),在鱸魚板塊上,指環蟲為第一背鍋俠乃實至名歸矣! 就如羅工經常講的笑話:我昨晚到您那喝了一碗粥,今天感覺頭痛,所以您的粥一定有問題。同理反正有1/2條指環蟲,我不管,就是它引起的,缺氧浮頭是指環蟲,死魚是指環蟲,任何問題都是指環蟲。 建議去大水庫撈幾條隨便什么魚,仔細照照顯微鏡,會發覺已經長到幾十斤的活蹦亂跳的魚“精”,鰓部指環蟲也是存在甚至是極多的。為什么這些魚得了指環蟲就是不死還長到了幾十斤呢?基本的常識要有,不然被賣了還在幫忙數錢啊。 當然,關鍵還是實踐檢驗,殺完指環蟲有效果嗎?答案是:無,無任何效果。都沒指環蟲或者只有1/2條指環蟲,這不是殺了個寂寞嗎? 這里討論的是共性原因,不討論因為指環蟲超多引起不吃料的個案。對了,再多說一句,指環蟲發病再厲害,不會浮頭更不會沖水。 5.殺車輪蟲 杯體蟲: 車輪蟲 還是以實踐得來的真實數據說話,80%以上的池塘,殺2次車輪蟲后吃料回復正常,鱸魚不再沖水。10%的池塘殺5-6次后回復正常。10%的池塘殺6次后雖有效果,但不明顯。 堅決殺車輪蟲杯體蟲的,復發率不足20%,最少維持半個月以上不復發。 后文會有詳細分析為什么要殺那么多次,殺了還有20%的復發率,羅工還會告訴你該怎么做。 再次強調,不要以個案個例來討論,羅工講的是大數據,是最少一整個縣市為單位的鱸魚情況。 車輪蟲有多厲害 一說到車輪蟲,養殖成品魚的大多嗤之以鼻,認為車輪蟲完全不必考慮。聽到最多的是“車輪蟲真有那么厲害嗎”“車輪蟲以前都沒事”“車輪蟲不是很好弄的嗎”,反正就是一句話,打死也不殺車輪蟲。這種老經驗老思想的人太多太多,先放出百度百科“車輪蟲”的截圖: 上面內容很長,可以自己去看百度百科。羅工通俗化和大家解釋吧: 1.車輪蟲會引起體表和鰓部粘液大量分泌,鰓部粘液分泌過多,會導致間歇性地缺氧。有些人會說粘液不是保護層嗎?越多越好啊。舉個例子,人的鼻涕也是保護層阻止空氣中的粉塵細菌進入人體,當感冒時鼻涕太多時會怎么樣?是不是鼻路不通只能用嘴巴呼吸?同理粘液過多魚就呼吸受阻,所以粘液過多是一種病! 缺氧后魚就會浮上水面,但水里氧氣其實是足夠的不是物理性缺氧,因此又不像浮頭的癥狀。當腦部缺氧后魚會無厘頭亂竄,膽小易驚,炸群,忽上忽下,沖水,跳出水面,不吃料等等癥狀。核心是:腦部缺氧。 2.魚亂沖亂竄,用力過猛下,導致體表出現各種出血(充血)癥狀。看下圖,很熟悉的有么有? 體表尤其鰭條出血(充血) 3.車輪蟲感染后,魚雖不會痛,但是會“癢”。可是它又沒“手”可以抓“癢”,就只能到處刮擦剮蹭,于是各種爛身、鰓蓋破損、紅頭紅嘴等等癥狀就出現了。下圖有沒有一樣很熟悉? 紅頭紅嘴紅鰓蓋 瘋狂摩擦導致開天窗 以前車輪蟲確實沒那么多事,可是十年前也沒有諾卡氏爆發啊,也沒聽說過卵甲藻啊?時代在變,二十年前手機還只能打電話發短信呢!病害更是在變,如果還是沉迷過去的經驗不可自拔,損失的是自己的魚自己的錢! 更加瘋狂的杯體蟲 杯體蟲很多都沒聽過更不要說看過了,很多技術員都會把杯體蟲當作粘液。 杯體蟲 杯體蟲的后果比車輪蟲厲害十倍,車輪蟲主要是不吃料讓人頭疼,死魚不會很多。車輪蟲有的杯體蟲都有,它另有很恐怖的三個后果: 1.死魚持續不斷且沒有上限。長期不治療累積死魚數量也是很嚇人的!杯體蟲是不游動的,扎根鰓絲上,直到魚死亡才放手! 2.魚體消瘦。如果車輪蟲的數量是以萬計,那么杯體蟲是以十萬甚至百萬計!營養全被杯體蟲吸光了,本來就吃料不正常,吃的那一點點還不夠杯體蟲生長繁殖的。本來一斤的魚能瘦成八兩,賣相及其難看販子都不愿收,哪怕沒死魚要虧多少? 瘦成竹竿加大頭的鱸魚 3.長期不治療完全閉口。注意是完全!也就是如果耽誤時間太長的話,想盡辦法也不會重新開口吃料,最后就是整塘全廢只能拋售了! 看完以上這些,還會覺得車輪蟲杯體蟲是小事嗎? 為什么這么難治且復發 原因一:當然是密度。對養殖效益的追求下,密度越來越高。有病當然容易傳染且難治。 原因二:底質。出現此情況的都是5兩以上的成品魚,養殖時間大多超過10個月,底質臟導致車輪蟲繁殖爆發。注意:氨氮是底質臟的表現,但僅僅降氨氮并不能完全改善。 原因三:車輪蟲的愈發強大。有育苗的老板們就應該知道,今年魚苗的車輪蟲相當難殺。特別是2021年中秋過后簡直是硬如石頭,魚苗都受不了了,車輪蟲還是穩如磐石。藥還是那些藥,劑量還在加大,但是中秋后的病難治了。包括諾卡氏、淀粉卵甲藻也是這樣,中秋前還好,中秋后可說是怎么都干不掉。這里有天氣的原因,也有車輪蟲自身更強大的原因。 原因四:抗藥性。這是很多人都掛在嘴邊的,羅工不再重復。但這條原因只能排在第五,因為中秋前后的效果差別之巨大,不能以抗藥性簡單解釋。其實沖水不吃料的問題,這幾年一直都存在,只是今年突然普遍并難搞了而已。 原因五:車輪蟲(杯體蟲)的生物特點,是造成復發的根本原因,這里用通俗的話和大家講講車輪蟲。車輪蟲和水蛛、輪蟲一樣,當條件不合適的時候(比如曬干清塘),是會形成休眠卵的。休眠卵有一層厚厚的保護殼,日曬藥殺并不能完全殺死它們,哪怕暴曬幾個月,池底的休眠卵依然大量存在。當條件合適時(比如魚多底臟時),休眠卵就激活,車輪蟲就寄生魚體大量繁殖。當進行人為殺蟲時,一部分確實是被藥殺死了,但大部分又轉為休眠卵沉到池底躲避。當殺蟲藥藥效完全過去后,休眠卵有可能再次激活,又開始寄生到魚身上。以上過程周而復始,因此,殺車輪蟲基本不可能一次成功,需要反復的殺滅。效果和用量關系不大,和頻率關系重大。現在是車輪蟲(杯體蟲)最適合繁殖的季節,因此就出現了要殺好幾次才能明顯見效的情況。 原因六:心急如焚,庸醫誤診。前面說了診斷過程中至關重要的兩點,一是要病魚才可看到車輪蟲杯體蟲,很多人抓去檢查的都是健康魚,自然看不到車輪蟲,從而在各種言論中反復搖擺糾結。二是庸醫檢測只能看到大的指環蟲,看不到或者沒耐心看車輪蟲杯體蟲。列位看官回憶一下,您的魚拿去檢測有沒檢查過體表粘液?如果連體表粘液都不看怎么能發現車輪蟲呢?如果連體表粘液都懶得看的店或技術員,壓根就不合格!一條魚看顯微鏡給您看半個小時以上,有幾家有這個耐心和細心?看圖片,不仔細看,能發現杯體蟲車輪蟲嗎? 低倍鏡下視野,找得到蟲嗎? 至于那些不知道杯體蟲為何物的“磚家”,市場上更是多如牛毛數不勝數。這些人不僅不懂,還阻止了養殖戶堅定殺車輪蟲杯體蟲的決心。聽羅工的真話就是要慢慢殺慢慢來,沒有捷徑秘方可走。可是幾天不吃料心急如焚啊。最后很多都成為了“磚家神醫”們的韭菜。畢竟吹幾句牛逼拍幾下胸脯,保證一次就可以包治包好,然后賣個千把塊指環蟲藥的買賣,既爽又沒什么風險。只是可惜了養殖戶們,既花錢還得不到解決,關鍵整個人還陷入深深的迷茫之中,因為換一家還是讓他殺指環蟲。 原因七:意志不堅定,其它病癥誤導。池塘那么多,總有各種各樣的癥狀,約有20%的池塘,有爛身或者諾卡氏的癥狀。很多人重點還是放到了消毒和內服,從而錯過了最佳治療時機。加上鱸魚養殖上,以前車輪蟲根本構不成威脅,在老經驗老思想下,總認為車輪蟲沒啥問題,怎么也不信車輪蟲這么厲害。有人就是不殺杯體蟲,導致魚完全閉口虧損20多萬,羅工也是親眼所見,實在可惜可嘆。 其實,這個沖水不吃料的問題,其實一點都不復雜,復雜的是人啊。內有老思想老經驗阻止,外有一堆“磚家神醫”拍著胸脯賣指環蟲藥,在治療周期至少一周的情況下,有幾人能夠頂得住內外夾攻? 到底該怎么治療 好了,各位要的實踐秘方來了: 1.殺車輪蟲杯體蟲:殺殺殺!反復殺就對了!殺2天要至少休息一天,用超過4次最好用海中寶之類解毒一下。注意同個藥不能重復殺,要換!要換!要換!再好用再特效的藥,殺個3次以上效果都開始減弱。 忠告兩點: ①別信死貴死貴的特效藥,一畝成本100塊的藥也得殺2次以上,別問我怎么知道的。車輪蟲又不是什么世界難題,和貴沒有關系。 ②別用殺了脂肪會變黃的藥,到時賣不了成魚。 至于用啥藥來殺,不要問,本文不做廣告。 2.改底:7天內要至少改底2次以上,配合殺蟲藥。比如連殺2天車輪蟲藥后,第三天休息的時候正好改底,首選過硫酸氫鉀。注意完全不吃料的要多次改底才可見效。 3.其它癥狀的清理:有鰓炎爛身的消毒,有諾卡氏的內服,水質有問題的調水,兵來將擋水來土掩。核心是不急不慌慢慢來。再說一句忠言:最近淀粉卵甲藻很多很多哦,別忽略。 鱸魚諾卡氏 淀粉卵甲藻 道理想清楚了,原因找到了,是不是很簡單?關鍵還是人啊,殺2次車輪蟲,發現效果不明顯的時候,您真的會堅定嗎?羅工偷偷告訴您:80%的人都自己跑去殺指環蟲了。還有10%雖沒有用其它藥,但打死也不再殺車輪蟲藥了。如果您動搖時,翻上去再看看羅工針對車輪蟲杯體蟲的簡單分析。 預防該怎么做 1.合理密度:密度越高,車輪蟲杯體蟲感染概率越高 2.改底:底質臟是車輪蟲孵化的溫床,多關注底質,不要以為鱸魚隨便養不用改底。 3.定期預防:不建議長期殺蟲預防,但可以針對天氣水質情況進行預防。 最近鱸魚沖水不吃料,其實并不算多厲害的病,只要不亂用藥死魚并不會很多。需要注意的是長期不處理會造成魚永久閉口,因此也得重視起來。最后提醒一下各位,本文中不經意間講的很多話,都是羅工二十多年塘頭經驗的結晶,看您能不能真正領悟了。 溫馨提示 羅工出品,必屬精品。下期更精彩,請持續關注“羅后兵專欄” 好消息:羅工抖音號上線了,抖音搜索“羅工水產專業課堂”,視頻學習更多一線知識經驗。 |

| 重點推薦 |
| |
免責聲明:
1、凡本網注明“來源:水產前沿網”的所有作品,均為水產前沿網合法擁有版權或有權使用的作品,未經本網授權不得轉載、摘編或利用其它方式使用上述作品。已經本網授權使用作品的,應在授權范圍內使用,并注明“來源:水產前沿網”。違反上述聲明者,本網將追究其相關法律責任。
2、凡本網注明“來源:XXX(非水產前沿網)”的作品,均轉載自其它媒體,轉載目的在于傳遞更多信息,并不代表本網贊同其觀點和對其真實性負責。
3、如本網轉載涉及版權等問題,請作者在15天內來電或來函與水產前沿網聯系。聯系方式:020-85595682。
