譯/胡路怡
執行摘要 由NACA (亞太水產養殖中心)主辦的,針對新興的對蝦早期死亡綜合癥(EMS)/急性肝胰腺壞死綜合癥(AHPNS) 突發事件報告會議,于2012年8月9日至10日在泰國首都曼谷召開。此次咨詢會議召集了全球87位參與者,包括17位國際蝦病專家(來自澳大利亞,文萊,加拿大,中國,西班牙,泰國,英國,美國和越南)、40名政府官員(澳大利亞,孟加拉國,文萊,柬埔寨,中國,印尼,印度,緬甸,馬來西亞,尼泊爾,巴基斯坦,菲律賓,泰國,斯里蘭卡,新加坡和越南)和10位私企代表(來自奧特奇公司,拜耳公司,卡吉爾,CP,輝瑞公司,英偉,諾偉司,Pharmaq),15為國際組織官員(OIE, FAO, SEAFDEC, MPEDA, WFC,NACA)和7名泰國和越南的研究生。其中19位專家的演講分析了疾病的爆發、發展、病理、診斷,并對該問題的應急方法做了交流分享。 咨詢會議的目的 1) 匯集全球知名專家、官員和生產家參與了解和討論正在東南亞發生的對蝦養殖疾病問題; 2) 整合多國核心研究資源、交換信息、交流意見,更好的理解肝胰腺壞死綜合癥并探討應對方法; 3) 記錄目前的疾病狀況和各國的研究進展,吸取各國各地區在應對疾病問題上的經驗教訓; 4) 在處理東南亞未來水產緊急疾病問題上達成共識。
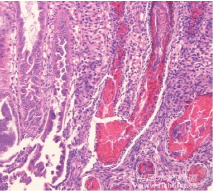
什么是 早期死亡綜合癥(EMS)/急性肝胰腺壞死綜合癥(AHPNS)? Early Mortality Syndrome早期死亡綜合癥(EMS)最初的描述是在養成期投苗30天內出現不尋常的高死亡率癥狀。該定義較為廣義,除了失敗的管理造成高死亡率外,一些病原例如:WSSV(白斑病毒)、YHV(黃頭病毒)和弧菌等也與EMS有關。因此,針對近期在亞洲爆發的對蝦養殖新疾病,用EMS來定義可能導致概念混淆。 自2009年來,不明對蝦早期死亡疾病席卷亞洲,造成了在投苗以后30天內大規模死亡的慘劇。已經證實被感染的種類包括南美白對蝦和斑節對蝦,病蝦表現出肝胰腺蒼白和萎縮,甲殼質地松軟,生長緩慢,有時打轉游泳,垂死的對蝦沉入池底后死亡。組織學檢驗后發現了對蝦呈現肝胰腺壞死,因此給予了這種疾病更為確切的定義,叫“Acute Hepatopancreas Necrosis Syndrome急性肝胰腺壞死綜合癥(AHPNS)”。
急性肝胰腺壞死綜合癥(AHPNS)的案例分析(參考Don Ligntner 教授的演講) 這次疾病咨詢會議,以未發現急性肝胰腺壞死綜合癥的致病因素(傳染病原或毒素)而告終。美國亞歷山大大學的著名對蝦疾病專家Don Ligntner教授將急性肝胰腺壞死定義為原發性疾病。所謂原發性疾病,可以理解為不明原因的疾病。此外,急性肝胰腺壞死的病理還包括 1)肝胰腺B、F、R和E細胞功能障礙,肝胰腺從中部向四周壞死; 2)肝胰腺細胞核變大,細胞脫落后進入肝胰腺小管腔; 3)最后,血細胞發炎并伴隨著弧菌的感染。 在池塘養殖過程中,大家通常使用肉眼觀察來鑒定。對此,Ligntner教授也給出了以肉眼觀察來診斷疾病的方法:1)病變的肝胰腺結締組織色素缺失導致白化;2)肝胰腺顯著萎縮;3)對蝦甲殼質地松軟,有時出現空腸現象;4)有時可以在肝胰腺中發現黑斑或黑條紋;5)用拇指和食指很難碾碎肝胰腺;6)嚴重的情況下,對蝦可在投苗10天左右開始死亡;7)垂死狀態的對蝦可能沉入池底。 AHPNS疾病歷史和傳播區域 (參考 Disease Adversary) 大約在2009年,AHPNS就開始在中國南部養殖區域擴散并造成很大的損失。2010年,該疾病爆發范圍在中國擴大,越南也開始報道了這種問題。2011年,疾病擴散到馬來西亞;2012年初,在泰國發現了AHPNS。 中國 早期死亡綜合癥最早于2009年在海南發現,常常被誤認為“偷死”,當時,很多養殖戶未引起重視。直至2011年,中國大陸地區的疾病問題才愈發突出。調查報告顯示,5齡以上的池塘和鹽度高于20ppt的近海區的病害情況尤為嚴重(Panakorn, S., 2012)。2011年上半年,海南、福建、廣東和廣西部分地區的死亡損失高達80%。 馬來西亞 馬來西亞的南美白對蝦早期死亡綜合癥在2010年中期曾有報道,主要疾病發生在彭亨州和柔佛州,當時還沒有對該疾病命名。2010年,馬來西亞約有11萬噸的南美白對蝦和斑節對蝦產量,但2011年統計結果顯示,總產量下降至4.5萬噸。2012年1月至5月,總產量僅有2.5萬噸(數據來源:Malaysia Shrimp Industry Association)。早期死亡綜合癥使馬來西亞的南美白對蝦產量由2010年的8.7萬噸減產至6.7萬噸(數據來源: Annual Fisheries statistics)。而2012年上半年的2.5萬噸產量更是出乎大家的意料!馬來西亞的研究人員曾懷疑AHPNS與水質污染和麻痹性貝類毒素有關,但這個假設需要更多的實驗和調查予以佐證。 越南 2010年,越南的湄公河三角洲地區發現了該疾病,直到2011年3月,早期死亡綜合癥被確立并相繼報道時,疾病問題已經泛濫(Mooney, 2012)。越南的田剛,堅江,檳知,朔莊,薄寮和金甌等省份的總計9.8萬公頃養殖面積受到該疾病的影響。2011年6月,斑節對蝦養殖業遭受空前的損失,其中茶榮省6200公頃養殖面積遭受毀滅性打擊,死亡的對蝦總數約為3.3億尾,直接經濟損失120億越盾(合計約380萬人民幣);朔莊省2萬公頃養殖面積受災,經濟損失1.5萬億越盾(約4.7億人民幣)(Mooney, 2012)。2012年1月至3月,AHPNS依然影響著湄公河三角洲和中南部沿海地區的對蝦養殖,在越南團隊的疾病報告中估計,2012年全年受AHPNS嚴重影響的面積將在3.9萬公頃左右。 泰國 至今為止,泰國大約0.7%的養殖池塘受到EMS的影響,主要分布在東部沿海地區(羅勇,尖竹汶,達叻府,北柳府省)。雖然影響面積不大,但泰國政府、研究人員和對蝦養殖協會正在努力開展合作,以減輕疾病帶來的困擾。 尋找致病原因 (參考Tim Flegel教授的演講) 從AHPNS在亞洲,尤其是東南亞的擴散情況上看,導致AHPNS蔓延的很可能是一種病原生物。但是目前為止,從越南和中國收集的對蝦樣本的組織慮液在人工感染試驗中無法證實該疾病是由病毒引起的。AHPNS的組織病理學顯示該疾病癥狀很可能是中毒,但是在實驗室條件下投喂越南提供的樣本飼料和測試菊酯(甲殼動物殺蟲劑)的實驗得出的結論依然無法證實之前的假設。PCR測試結果顯示,AHPNS與WSSV(白斑綜合癥病毒)、THV(黃頭病毒)、IMNV(傳染性肌肉壞死病毒)和TSV(桃拉綜合癥病毒)無關。 盡管導致AHPNS的原因沒有得到確定,但針對疾病的病原和毒素研究不可中斷。研究調查需要專注于解決這方面的知識空白,探索調查所有可能的原因。 探索的途徑包括: 1. 生物性和非生物性的毒素: 1) 從水質、土壤和底質中探索; 2) 從飼料和飼料成分,微生態制劑成分中探索; 3) 從養殖中使用的新老藥品中探索; 2. 新型細菌研究: 1) 應用shotgun sequencing(鳥槍法測序)細菌的rRNA; 2) 噬菌體細菌的相關研究入手; 3. 新未知病毒探索: 1) 同時測試組織過濾和未過濾提取物來確定是否存在病毒的可篩選性; 2) 通過TEM方法檢測病蝦組織中的病毒粒; 3) 鳥槍測序法檢測“病毒提取物”。 Ligntner 教授于今年的7月底和8月初調查了越南幾個地區的對蝦養殖場。“幾乎所有的養殖場都出現了AHPNS問題,但是沒有一個有效的緩解措施,一個看似有效的應激措施在另一個地方嘗試后不能得到理想中的效果”,教授表示,他和他的研究團隊將在今年的九月或者十月重新準備一份演講報告,這份報告將揭示AHPNS的原因及影響;提供面對該疾病時,在種苗場和養殖場兩方面的有效處理措施,以幫助養殖戶避免和降低疾病損失。(摘抄自《Global Aquaculture Alliance》) 國外知名專家的技術演講和各國代表的演講 1) Characterization, Distribution, Impacts and Case Definition 《急性肝胰腺壞死綜合癥的特征、分布、影響以及案例分析》 演講者:Don Lightner 教授 2)Research Progress on Bacterial and Viral Causes of AHPNS 《急性肝胰腺壞死綜合癥的細菌和病毒研究進展》 演講者:Tim Flegel 教授 3) Disease Emergence –Why and How 《疾病的發生,為什么?怎么樣?》 演講者 Peter Walker 教授 4) Novel Methods for “Hunting for Ghost Viruses” 《尋找“幽靈病毒”的新方法》 演講者: Jeff Cowley 博士 5) Epidemiology and Risk Factors-What We Know? 《流行病學和危險因素,我們所知道的是什么?》 演講者: Flavio Corsin 博士 6) Is EMS a Management Problem? 《早期死亡癥狀是養殖管理問題嗎?》 演講者:Matt Briggs 博士 7) One Month Mortality Syndrome-Revisiting an old story 《一個月死亡癥狀-重溫一個老故事》 演講者: Celia Pitogo 博士 8) Management of EMS-What Works and What Does Not? 《早期死亡綜合癥的管理-什么有效,什么無效?》 演講者: Chalor Limsuwan 教授 9) Disease Preparedness-Theory and Practice. What Have We Learnt? 《疾病防備的理論和實踐,我們吸取了什么教訓?》 演講者:Ingo Ernst 博士 10) 中國、越南、泰國和馬來西亞 代表團隊的演說 所有演講的英文原版課件和聽力材料均可以在NACA網站上免費下載。 諸位專家演講的個人淺析 針對在亞洲的突發對蝦疾病,全球知名專家匯聚于曼谷,從不同的角度剖析了AHPNS。雖然最終的原因沒有得到確立,但在會議上眾多專家達成了諸多共識,同時國際最新的水產疾病分子檢測技術也在會議上亮相。 1) 早在2012年初,Ligntner教授就在GAA雜志上發表了早期綜合癥病理研究報告。此次會議上,Ligntner教授的演講內容與之前發表的病理報告大體相同。Ligntner教授描述了組織病理特征,首先確立了弧菌繼發感染的觀點,即弧菌感染是發生在對蝦肝胰腺出現病變壞死之后。這個觀點得到了專家的廣泛認同。雖然病理學顯示AHPNS很大程度上是一種生理中毒,但是實驗測試了由越南提供的樣品飼料和一種甲殼動物殺蟲劑(菊酯),結果顯示樣品飼料和菊酯均不是造成AHPNS的罪魁禍首。 2) Tim Flegel 教授針對AHPNS與細菌或病毒有關的問題做了詳細解釋。通過PCR測試,已經排除了WSSV、YHV、IMNV和TSV造成AHPNS的可能性。在報告中,Flegel 教授對EMS和AHPNS這兩個概念之間的差異進行了解釋,并得到廣泛認同。Flegel 教授指出了對蝦樣品收集和檢測時常出現的誤區并予以糾正,同時介紹了shotgun sequencing(鳥槍法測序)在對蝦疾病檢測上的應用。 3) 對于新疾病的發生和擴散,生態學家Peter Walker教授認為主要原因是某些傳染因素擾亂了生態系統。Walker教授以在中國發生的SARS和基孔肯雅熱癥為例子做了精彩的開場白,他認為在正常條件下,致病的病原是存在的但不致病;生態系統平衡被打亂了以后這些疾病才會感染健康的生物。對蝦疾病的爆發,是因為對蝦養殖在高密度非自然的水環境中,同時對蝦常常受到來自外界的應激,鮮活生物交易運輸則輔助了疾病的擴散。 4) 泰國Chalor Limsuwan 教授在他的演講中強調了微生態制劑和AHPNS的關系,調查中指出,馬來西亞和泰國發現EMS的池塘,100%為前期水質處理使用了微生態制劑;而在養殖全過程未使用微生態制劑的生物絮養殖模式池塘,沒有發現EMS。這些微生物(乳酸菌、酵母菌)產生的酸性物質導致對蝦脫殼異常,間接導致軟殼和肌肉白濁。為了預防EMS,Chalor教授推薦養殖戶購買PL10以上的種苗(PL10指post larvae期第10天),同時減少養殖前期使用微生態制劑調水,總堿度保持在100 mg/L以上,溶解氧保持在4 mg/L以上。 5) 越南是AHPNS的重災區之一,有人曾懷疑菊酯是造成AHPNS的兇手。菊酯的作用是消除養殖前期的白斑載體,在越南廣泛使用。但有反例證明,一些使用了菊酯的池塘沒有出現AHPNS,另外一些沒有使用菊酯的池塘AHPNS問題嚴重; Ligntner教授則通過實驗證實了菊酯與AHPNS無關。此外,藻毒素也曾被列入懷疑名單,但是沒有證據證實藻毒素與AHPNS有直接關系。 中國水產頻道(m.fuqitext.com)原創稿件,轉載請注明出處! |

| 重點推薦 |
| |
免責聲明:
1、凡本網注明“來源:水產前沿網”的所有作品,均為水產前沿網合法擁有版權或有權使用的作品,未經本網授權不得轉載、摘編或利用其它方式使用上述作品。已經本網授權使用作品的,應在授權范圍內使用,并注明“來源:水產前沿網”。違反上述聲明者,本網將追究其相關法律責任。
2、凡本網注明“來源:XXX(非水產前沿網)”的作品,均轉載自其它媒體,轉載目的在于傳遞更多信息,并不代表本網贊同其觀點和對其真實性負責。
3、如本網轉載涉及版權等問題,請作者在15天內來電或來函與水產前沿網聯系。聯系方式:020-85595682。
