圖1 發病的尖吻鱸養殖池塘
圖2 從池邊撈起的游水尖吻鱸
圖3 鰓絲充血發紫
圖4 胃腸空虛,腸道發紅,膽囊充盈,有膽汁滲出
圖5 脾臟腫大,發黑
圖6 腎臟發黑,有出血點
圖7 病魚的肝、腎細菌分離培養結果
圖8 病魚細胞腫大屬虹彩病毒檢測結果
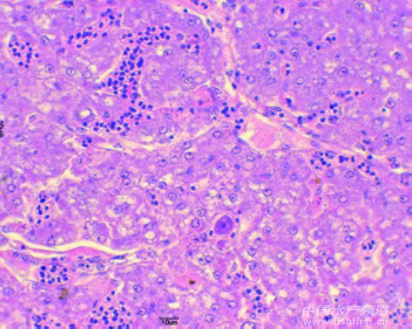
圖9 肝臟淤血,肝細胞界限不明,肝實質細胞稀疏,有零星肥大細胞,有壞死
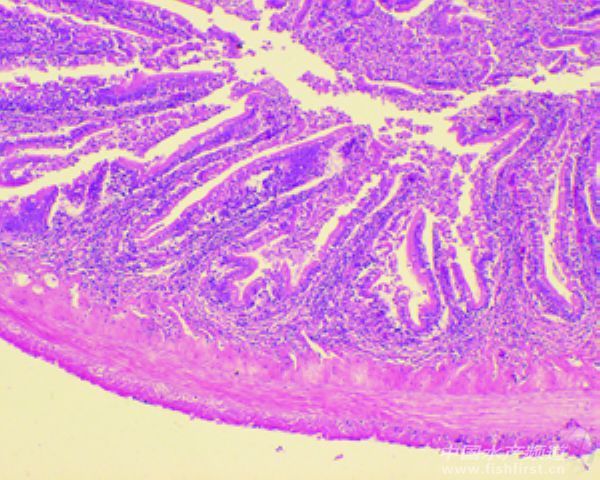
圖10 腸:上皮結構不清晰,淋巴細胞增生,輕微淤血;腸腔內有菌團
圖11 鰓:鰓小片淤血,細胞有壞死,有嗜酸性粒細胞
|

| 重點推薦 |
| |
免責聲明:
1、凡本網注明“來源:水產前沿網”的所有作品,均為水產前沿網合法擁有版權或有權使用的作品,未經本網授權不得轉載、摘編或利用其它方式使用上述作品。已經本網授權使用作品的,應在授權范圍內使用,并注明“來源:水產前沿網”。違反上述聲明者,本網將追究其相關法律責任。
2、凡本網注明“來源:XXX(非水產前沿網)”的作品,均轉載自其它媒體,轉載目的在于傳遞更多信息,并不代表本網贊同其觀點和對其真實性負責。
3、如本網轉載涉及版權等問題,請作者在15天內來電或來函與水產前沿網聯系。聯系方式:020-85595682。
