|
文/利洋研究所雷燕
中國水產頻道獨家報道,廣東佛山勒流鎮一養殖長吻鮠池塘,面積7畝,水深2米,4臺增氧機。2012年12月12日放規格7-8尾/斤的長吻鮠3萬尾,2013年4月3日再放規格7-8尾/斤的長吻鮠3萬尾。
2013年4月8號開始出現游塘,死亡,剛開始每天死亡10多尾,兩批次的魚均有死亡,死亡的魚體表寄生少量錨頭蚤,用殺蟲藥殺蟲后,寄生蟲減少,但死亡量增加,到4月下旬,最多一天死亡1000尾,到5月1日,總共死亡約6000尾。
2013年5月1日到現場檢查,測定水溫24℃。用簡易測試盒測水質,pH值8.0,亞硝酸鹽0.25mg/L,氨氮測不出。上午死魚約500尾,塘中還有少量死魚,有部分魚在水面游動。從池中撈起5尾游水的吻魚,外觀體表寄生有錨頭蚤(見圖1),解剖見鰓上有大量出血點(見圖2),內臟解剖見腹腔有腹水,肝臟發白,肌肉出血,腸間脂肪有大量的出血點(見圖3),脾臟和鰾有大量的出血點(見圖4)。分別從5尾魚的腹水、肝臟和腎臟中接種進行細菌分離培養,并對分離菌進行藥敏試驗,
結果:
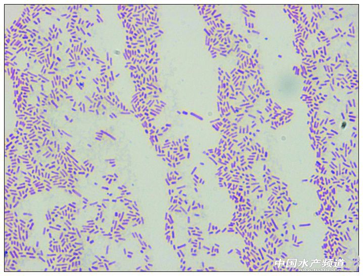
5尾魚的腹水、肝臟、和腎臟中均培養出大量的細菌,且形態大小基本一致,革蘭氏染色為陰性、兩端鈍圓、散在或成雙排列的桿菌(見圖5),經16SrDNA測序鑒定為鮰愛德華氏菌(Edwardsiellaictaluri),藥敏結果顯示,該分離菌對“可代金”、“多康素”、“鰓膚康”、“出敗康”、“鰓皮腸利康”、“氟多力”等藥物敏感。
分析:
1、鮰愛德華氏菌是鲇形目魚類重要的致病菌,我們先后在發病的黃顙魚、雜交鲇、塘虱體內分離到該菌,本病例在發病的長吻鮠體內分離到該菌。該菌流行水溫是18-28℃,具有一定的季節性,春天和秋天為高發期。
2、本病例中,發病前體表有大量的寄生蟲,前期也用過大量的殺蟲藥,可能是誘發長吻鮠鮰愛德華氏菌病的原因。
中國水產頻道獨家報道,轉載請說明出處《水產前沿》雜志m.fuqitext.com,違者追究法律責任,謝謝合作。 |

| 重點推薦 |
| |
免責聲明:
1、凡本網注明“來源:水產前沿網”的所有作品,均為水產前沿網合法擁有版權或有權使用的作品,未經本網授權不得轉載、摘編或利用其它方式使用上述作品。已經本網授權使用作品的,應在授權范圍內使用,并注明“來源:水產前沿網”。違反上述聲明者,本網將追究其相關法律責任。
2、凡本網注明“來源:XXX(非水產前沿網)”的作品,均轉載自其它媒體,轉載目的在于傳遞更多信息,并不代表本網贊同其觀點和對其真實性負責。
3、如本網轉載涉及版權等問題,請作者在15天內來電或來函與水產前沿網聯系。聯系方式:020-85595682。
