譯/蔣天寶 白便綜合癥(2014) SriurairatanaS, BoonyawiwatV, Gangnonngiw W,
etal. White feces syndrome of shrimp arises from transformation, sloughing and aggregation
of hepatopancreatic microvilli into vermiform bodies superficially resembling gregarines.
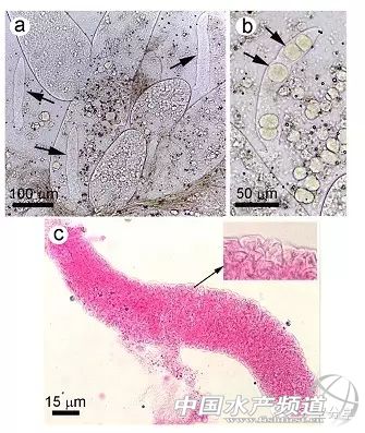
[J]. PlosOne, 2014, 9(6): e99170. 全篇譯文(省去材料方法,參考文獻) 摘要 隨著對蝦急性肝胰腺壞死病(AHPND)在亞洲蔓延,蠕蟲狀如簇蟲,開始在蝦的肝胰腺和腸道流行。這種寄生蟲疾病,往往伴隨著出現白色的糞便,這種現象稱為白便綜合征(WFS)。取新鮮肝胰腺組織染色涂片,光學顯微觀察可以發現,蠕蟲狀體接近透明,其管寬和直徑與肝胰腺小管相似。但盡管發現蠕蟲狀的物質出現,但并未發現其存在細胞結構。在高倍鏡下觀察發現(LM與40-100x目標),它是由一層膜包圍的加厚的跨折疊膜的復合物。透射電子顯微鏡(TEM)發現這種蠕蟲狀體膜孔的非層膜與質膜和已知簇蟲、其他原生動物或后生動物的外層都不相同。沒有發現亞細胞的細胞器例如線粒體,細胞核,內質網和核糖體。內部膜只有一個管狀的子結構,偶爾會包含整個B細胞,B細胞從肝胰腺小管上皮細胞脫落。這些內部膜顯示,微絨毛從肝胰腺小管上皮細胞脫落,然后在管腔內聚集。微絨毛脫落時,原始細胞裂解了。與此相反,B細胞保持完整或分別獨立地和整體的從細管上皮脫落。在光鏡下,當脫落的微絨毛聚合包圍B細胞就可能被誤解為囊腫狀結構,使它看起來像簇蟲。ATM(蠕蟲狀體)的成原,目前還不清晰,但微絨毛脫落和隨后的細胞的裂解表明,其形成是一種病理過程。一但更嚴重,ATM將可能延緩蝦的生長,并可能使蝦易患條件致病菌病。因而,ATM(蠕蟲狀體)的原因和它與急性肝胰腺壞死病之間的關系(如果有的話)需要繼續研究確定。 前言 本文斷斷續續花了6年時間,發現白便為肝胰腺上的微絨毛脫落,之后聚合成蠕蟲狀體,其表觀看起來像簇蟲。最開始只是研究現象,之后在對各種已知的從病毒、細菌、真菌和寄生蟲,蝦病原體研究中,順便也觀察ATM。但直到最近才把現象和ATM聯系起來,使它們成為鏈接成一個連貫的整體。為了找出它們之間的聯系,我們曾進行了密集的調研。 自2009年以來,特別是2011年以來,進行了數以百計的蝦標本研究,試圖確定急性肝胰腺壞死病(AHPND)與它的關系。近年來,對蝦疾病已對亞洲蝦的養殖業造成嚴重的損失。AHPND暴發始于南美白對蝦、斑節對蝦和中國對蝦。南美白對蝦AHPND于2009年在中國暴發后,逐漸蔓延到越南(2010年),馬來西亞(2011年)和泰國(2012),盡管該疾病在當時不知道具體原因。事實上,它直到2011才首次被定義為AHPND(稱為急性肝胰腺壞死綜合征或AHPNS),它在2011年6月,由來自亞利桑那大學的Lightner(未發表),在一個由越南動物衛生廳在河內組織的研討會上提出。隨后,于2012年1-2月,它被全球水產養殖倡導雜志定義為早期死亡綜合癥(EMS)。后來在同一年,亞太地區的水產養殖中心(NACA)編寫了一個病證并在其網站上提供(www.enaca.org)。最后,該病原體(即單獨的副溶血性弧菌)被發現于2013年[1]。此病獨特的診斷特點是蝦肝胰腺中內側脫落許多小管上皮細胞,目前把它作為來源于蝦胃的致病菌的一個未知結果毒素(s)。目前確診仍依賴于HP細胞的大量脫落的組織學診斷,數百蝦涉嫌AHPND感染,主要做頭胸部組織切片觀察,且主要專注于蝦的肝胰腺。在此工作的過程中,各種其他肝胰腺病原體有也遇到并記錄,但不經常報道。這里發現了一個日益流行的異常現象,在斑節對蝦和南美白對蝦的肝胰腺、胃和腸道的連接處的小管內發現了蠕蟲狀體,表面看起來像簇蟲。它們有時會產生大量的白色的糞便,這種現象稱為白色糞便綜合征(WFS),池塘養蝦大約養到2個月開始發生,他們最初認為是簇蟲導致的白便[2]。據估計,2010年WFS對泰國的損失為10%-15%,主要降低蝦的存活率和蝦的規格,且這一估算排除了每年由白斑病給泰國造成的正常損失。在這里,我們用光學顯微鏡和電子顯微鏡對蠕蟲狀體進行了詳細研究,表明它們不獨立的有機體,而是是編隊組成的集合。微絨毛轉化(ATM)是蝦肝胰腺小管上皮細胞從上面脫落,之后它們聚集在肝胰腺和腸道相接的地方,之后通過腸糞便排出。 A浮便B料臺上糞便C白腸D金棕色腸道E糞便的顯微照片a低倍鏡下顯示有3個蠕蟲狀體,其中1個在小管內b高倍鏡下可見蠕蟲狀體內有B細胞c用孟加拉紅給蠕蟲狀體染色,在高倍鏡下觀察其內部膜結構。 肝胰腺組織涂片染色,HE染色揭示ATM。顯微照片清楚地顯示蠕蟲狀形態,ATM內部或游離的囊腫樣的內容。 結果 左圖)a細小碎片b早期聚合c中期聚合d壓縮e在腸道附近聚集f腸道內真實的族蟲,細胞核突出 右圖)蝦的肝胰腺HP組織切片甲苯胺藍染色。(a)一個HP小管的遠端末端截面顯示在隱窩上有密集的染色顆粒,由細管管腔微絨毛在轉化ATM時形成。注意微絨毛層所有的細胞是完整的。(b)HP小管處脫落,微絨毛正在轉化中。(c)一個B-細胞從HP小管上脫落,有正常和正在轉化的微絨毛,還有一個在裂解的細胞(d)在高放大倍率下的蠕蟲狀體ATM,有些包裹B-細胞,在ATM周圍有很多碎片。 TEM(投射電鏡)的微絨毛轉化和脫落的步驟。(a)HP小管上皮細胞的低倍率顯示正常和轉化的微絨毛和兩個脫落細胞的裂解。表明早期是由一層膜包圍的。(b)低倍率下,部分微絨毛脫落,細胞裂解前的情況和未脫落的B細胞(c)高倍率下,清楚地顯示出正常和轉化、脫落的微絨毛之間的不同。(d)高倍率下HP小管上皮細胞的轉化和脫落。 TEM(投射電鏡)在HP小管隱窩中不尋常的電子致密顆粒。(A)低倍率下,HP小管內可變形的不知名的電子致密顆粒(B)高倍率下,上皮微絨毛上有一個顆粒,可能是之前進入的細胞。(C)高倍率下,微絨毛上皮細胞里面有電子致密顆粒,它旁邊鄰近的微絨毛表層細胞的形狀發生了變化(D)低倍鏡下,一個小管上皮細胞內有很多電子致密顆粒,其絨毛在轉化的前期。 討論 在我們用電鏡揭示ATM的起源以前,我們用光鏡發現其跟簇蟲相似。那時一個關于簇蟲的文獻表明,在蝦中還從來沒報道過簇蟲,當然也包括泰國發表的那篇與簇蟲很相似的ATM。具體來說,它們缺乏動力,并沒有表現出細胞器,如通常突出的原子核。從后續電子顯微鏡的結果確認:ATM沒有細胞核和簇蟲常有的超微結構(例如,復雜的膜結構,線粒體,核糖體等)。但是,我們發現了一個同約翰遜以前的研究相似的現象。她在螃蟹的肝胰腺小管中偶爾會發現透明的薄膜狀的物質,她認為這個物質是從微絨毛上皮產生的。但她沒有給出它們形成的細節,并表示無法解釋它們的功能或意義,無法斷定它們是否的一個正常的過程或是結果某種罕見的病理。我們蝦的ATM形態特征與約翰遜螃蟹中的不明物質很相似,特別是投射電鏡圖。我們在其它甲殼動物的公開刊物中沒找到類似的物質。當ATM的發生嚴重時,它可以導致蝦形成白色糞便,如果很多同池的蝦同時表現出這種現象,它可以導致浮便,有時會漂浮堆積(即白糞便綜合征或WFS)。它通常出現在蝦養殖2個月的時候,并可能伴有較高的死亡率。然而,ATM有時與蝦的肝胰腺疾病如AHPND、弧菌病及對蝦腸微孢子蟲一起出現。導致的結果是,在越南WFS被認為是對蝦腸微孢子蟲導致的[17]。但這隨后在泰國的自然感染和實驗室研究實驗中表明不太可能是孢子蟲導致的[18]。因此,可以肯定的是,嚴重的WFS是大規模形成ATM導致的。然而,ATM形成的原因仍然是個謎,希望更多人能夠去研究它的特性和形成機制?偟膩碚f,我們的工作表明,ATM是由小管上皮細胞脫落,裂解,導致微絨毛轉化而形成的。這表明ATM的形成是一種病理過程。事實上,現在通過活蝦的HP組織涂片,很容易就發現了它。以前ATM在蝦中沒有發現,可能是流行率比較低的原因,正如先前約翰遜報道螃蟹也一樣[16]。然而,它們在亞洲流行越來越嚴重,就不能忽視這個問題了。明顯的是ATM的流行于AHPND暴發流行有關系。雖然這可能有一定的因果關系,但同時也出現了肝胰腺的微孢子蟲和AHPND一起流行的情況,但現在我們知道,當AHPND沒有感染細菌時,微孢子蟲與ATM的因果關系的可能性不大[1]。而親蝦和仔蝦的感染會導致微孢子蟲和AHPND細菌增加蝦的發病率。這個觀點可以找到一點依據,泰國一些蝦農收到同一批SPF仔蝦,但它們或多或少在同一時間暴發了AHPND。我們的研究也可以說明,一些地方性的微孢子蟲可以在南美白對蝦親蝦和仔蝦時感染,這應該是來源于美國,但卻從未報道過[18]。 總之以前的信息表明,蝦孵化場的生物安全措施沒有做到位,像外來的和當地的病原體都沒排除干凈。因此,對于ATM,我們必須考慮兩個可能性。無論它們感染了類似AHPND和微孢子蟲時,或它們感染了多種病原體但交替的表現不同病源病癥。例如,已經報道,AHPND細菌產生一種強效的毒素能引起肝胰腺小管上皮細胞脫落[1]。在沒有細胞脫落時,低劑量的毒素能否導致ATM?為了測試這后一種可能性,實驗室用病原體細菌的稀釋毒素建立了感染模型[1]。當出現新的病原體時,不管蝦中有或沒有ATM時,對其基因組進行對比分析是比較有效的;蛘,電子致密顆粒與微絨毛的轉化有有關的,這個可以作為一個研究方向。比如,可以用物理手段將它們分離出來。通過組織勻漿,差速離心和過濾,之后對它進一步分析。最后,我們通過透射電鏡發現,ATM的表面結構跟簇蟲很像,F在在亞洲養殖的蝦的肝胰腺體內常發現不是獨立有機體的物質。它是由HP小管的上皮細胞的脫落和聚合,微絨毛轉化時形成的。裸露的上皮細胞隨后裂解,表明該過程對蝦的生長和存活有負面影響。嚴重時可導致白便綜合癥(WFS)。需要進一步研究ATM產生的原因,并評估其對蝦養殖業生產的影響。 |

| 重點推薦 |
| |
免責聲明:
1、凡本網注明“來源:水產前沿網”的所有作品,均為水產前沿網合法擁有版權或有權使用的作品,未經本網授權不得轉載、摘編或利用其它方式使用上述作品。已經本網授權使用作品的,應在授權范圍內使用,并注明“來源:水產前沿網”。違反上述聲明者,本網將追究其相關法律責任。
2、凡本網注明“來源:XXX(非水產前沿網)”的作品,均轉載自其它媒體,轉載目的在于傳遞更多信息,并不代表本網贊同其觀點和對其真實性負責。
3、如本網轉載涉及版權等問題,請作者在15天內來電或來函與水產前沿網聯系。聯系方式:020-85595682。
