文/圖 張東霞 唐紹林
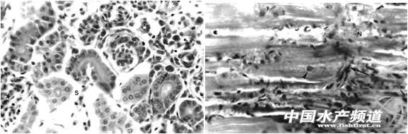
中國水產頻道報道,早在1997年,澳大利亞詹母斯庫克大學的Ariel E等研究報道了養殖羅非魚感染蛙虹彩病毒(Ranavirus)病的事件,感染病毒的羅非魚魚種于兩個月內死亡率達到100%。這給羅非魚的養殖帶來嚴重的經濟損失。 蛙虹彩病毒屬于虹彩病毒科,蛙虹彩病毒屬,病毒粒子呈二十面體,輪廓為六角形,有囊膜。大量病毒顆粒堆積可呈晶格狀排列,直徑一般為120~300 nm。蛙虹彩病毒主要感染魚類、兩棲類和爬行類動物。感染魚類包括加州鱸、石斑魚、河鱸、虹鱒等,侵襲范圍從幾克的苗種到幾百克的成魚,發病水溫在20~28℃,次高溫時發病。目前我國養殖的加州鱸、石斑魚每年都有發病病例。 該次研究首次報道蛙虹彩病毒感染羅非魚魚苗。該羅非魚養殖場采用網箱養殖方式,水溫恒定在24℃。患病魚表現出典型的旋轉性綜合征(Spinning tilapia syndrome,STS)癥狀,時而在水體中呈螺旋狀快速游動,時而停止在水底,時而呈45°懸掛在水面。感染病毒的羅非魚呈現體色發黑、鰓絲蒼白、眼球突出和腹水癥狀,有些魚頜下皮膚出現紅斑,內臟器官尤其是肝臟明顯發白,脾臟、腎臟和心臟出現嚴重的出血性壞死,繼而形成壞疽,腎小管收縮,腎間質出血并伴有大量炎性細胞浸潤,大多數肌肉出現灶性溶解(如圖標識所示)。蛙病毒不但可以通過垂直傳播途徑,還可以通過水平傳播途徑感染健康羅非魚,將具有明顯STS癥狀的羅非魚置于健康魚群中,發現健康魚逐漸出現STS癥狀,一個月內病魚死亡率約20%。 對于羅非魚感染蛙虹彩病毒病的診斷,可以通過典型的旋轉性綜合征初步判斷,但由于病毒感染后對機體產生免疫抑制作用,很快會誘發一些條件致病菌感染,所以只靠臨床癥狀診斷不夠準確。特別是該病的打轉、鰓絲貧血、眼球突出、腹水等癥狀與目前高發的羅非魚鏈球菌十分相似,容易誤診。進一步的確診還要通過流行病學調查、PCR病毒檢測、細菌分離培養等措施。采用分子生物學方法,如PCR法和LAMP法,是最為準確和特異的診斷措施。 |

| 重點推薦 |
| |
免責聲明:
1、凡本網注明“來源:水產前沿網”的所有作品,均為水產前沿網合法擁有版權或有權使用的作品,未經本網授權不得轉載、摘編或利用其它方式使用上述作品。已經本網授權使用作品的,應在授權范圍內使用,并注明“來源:水產前沿網”。違反上述聲明者,本網將追究其相關法律責任。
2、凡本網注明“來源:XXX(非水產前沿網)”的作品,均轉載自其它媒體,轉載目的在于傳遞更多信息,并不代表本網贊同其觀點和對其真實性負責。
3、如本網轉載涉及版權等問題,請作者在15天內來電或來函與水產前沿網聯系。聯系方式:020-85595682。
