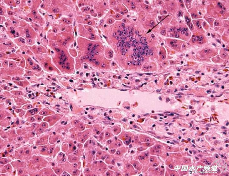
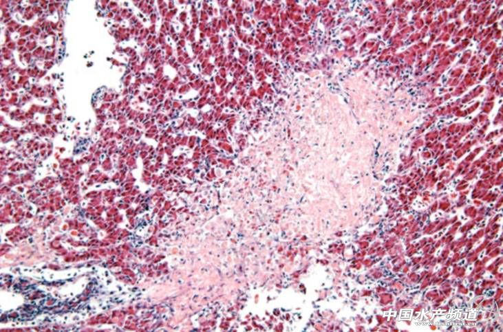
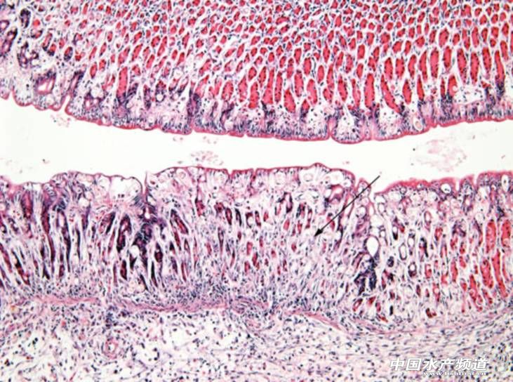
文/廣州利洋水產科技股份有限公司 張吉鵬 中國水產頻道獨家報道,羅非魚是全球主要淡水養殖經濟魚種之一,是動物性蛋白質的主要來源。細菌、病毒、寄生蟲和真菌等都能感染養殖羅非魚,其中病毒病最為棘手,沒有有效的治療方法,主要以預防為主。羅湖病毒是2012年由美國科學家首次發現的危害羅非魚的一種病毒,它是一種新型的RNA病毒,由10個獨特的基因片段組成,直徑55-75nm,目前仍未確定其分類地位,極有可能是正粘病毒科的一種新型病毒,與我們熟知的流感病毒同屬一科。羅湖病毒在24-33℃均可以生長,最適溫度25℃,所以每年的5-10月份均可能導致發病。雖然目前我國未有羅湖病毒感染的病例報道,但作為羅非魚養殖世界第一大國,我們應密切關注羅湖病毒的情況,做好檢測工作。下面根據國外報道的羅湖病毒病的情況,總結一下發病的主要癥狀、流行情況,供大家參考價。 以色列的發病報道 2009年的夏天,以色列的某個養殖場出現羅非魚大量死亡的現象(圖1),規格大小不一,發病時間從5月持續到10月,能夠從一個池塘傳播到另外相近的池塘,傳染性強,發病率達到80%以上。池塘中混養多種魚類,如鯉魚、鯔魚等,但僅有羅非魚發病。同年,自然生長的野生羅非魚也同樣出現大量死亡。病魚體色發黑,體表有潰爛(圖2),眼睛有明顯的病變。發病前期晶狀體渾濁,到后期,晶狀體破裂發炎,眼睛內容物濃縮(圖3),失去正常功能。病理切片顯示腦組織水腫,腦膜局部出血,灰白質充血(圖4),膠質細胞增生,有的血管周圍淋巴細胞淤積(圖5),神經元呈現不同程度的變性;脾臟、腎臟中度淤血(圖6),肝臟和脾臟中黑色素巨噬細胞中心增生。黑色素巨噬細胞中心通常出現在慢性感染病后期,是機體對各種病原感染,尤其是病毒感染的一種反應。 圖1 發病后大量死亡的羅非魚 (圖片來源:Eyngor M, Zamostiano R, Tsofack J E K, et al. Identification of a novel RNA virus lethal to tilapia[J]. Journal of clinical microbiology, 2014, 52(12): 4137-4146.) 圖2 病魚體表潰爛 (圖片來源:Eyngor M, Zamostiano R, Tsofack J E K, et al. Identification of a novel RNA virus lethal to tilapia[J]. Journal of clinical microbiology, 2014, 52(12): 4137-4146.) 圖3 病魚眼睛凹陷,失去正常功能 (圖片來源:Eyngor M, Zamostiano R, Tsofack J E K, et al. Identification of a novel RNA virus lethal to tilapia[J]. Journal of clinical microbiology, 2014, 52(12): 4137-4146.) 圖4 大腦灰白質充血 (圖片來源:Eyngor M, Zamostiano R, Tsofack J E K, et al. Identification of a novel RNA virus lethal to tilapia[J]. Journal of clinical microbiology, 2014, 52(12): 4137-4146.) 圖5 血管周圍淋巴細胞淤積 (圖片來源:Eyngor M, Zamostiano R, Tsofack J E K, et al. Identification of a novel RNA virus lethal to tilapia[J]. Journal of clinical microbiology, 2014, 52(12): 4137-4146.) 圖6 腎臟淤血 (圖片來源:Eyngor M, Zamostiano R, Tsofack J E K, et al. Identification of a novel RNA virus lethal to tilapia[J]. Journal of clinical microbiology, 2014, 52(12): 4137-4146.) 厄瓜多爾的發病報道 2011年,厄瓜多爾也出現了養殖羅非魚大量死亡的現象,魚苗從小池塘移至大池塘后4-7天便開始發病,死亡率80%以上。病魚一般比較消瘦,體表發黑,突眼,鰓絲貧血,腹部膨脹有腹水(圖7)。病理切片顯示肝臟和胃腸道為主要病變器官,肝臟壞死、發炎、并出現合胞體(圖8、9);胃腺壞死(圖10),腸腔中形成蛋白管型。雖然此病例中的癥狀與前面病例中的有較大差異,但科學家們也從中檢測到了羅湖病毒,而癥狀不同的原因還需進一步研究。 圖7 病魚眼睛突出,腹部膨脹 (圖片來源:Ferguson H W, Kabuusu R, Beltran S, et al. Syncytial hepatitis of farmed tilapia, Oreochromis niloticus (L.): a case report[J]. Journal of fish diseases, 2014, 37(6): 583-589.) 圖8 肝臟局部壞死 (圖片來源:Ferguson H W, Kabuusu R, Beltran S, et al. Syncytial hepatitis of farmed tilapia, Oreochromis niloticus (L.): a case report[J]. Journal of fish diseases, 2014, 37(6): 583-589.) 圖9 肝臟中出現合胞體 (圖片來源:Ferguson H W, Kabuusu R, Beltran S, et al. Syncytial hepatitis of farmed tilapia, Oreochromis niloticus (L.): a case report[J]. Journal of fish diseases, 2014, 37(6): 583-589.) 圖10 胃腺壞死 (圖片來源:Ferguson H W, Kabuusu R, Beltran S, et al. Syncytial hepatitis of farmed tilapia, Oreochromis niloticus (L.): a case report[J]. Journal of fish diseases, 2014, 37(6): 583-589.) 埃及的發病報道 2015年,一種被稱為“夏季死亡綜合征”的疾病迅速席卷了埃及的羅非魚養殖場,帶來了巨大的經濟損失。在抽樣調查的68家羅非魚養殖場中,發病的有25家,發病率37%,平均死亡率9.2%,最高死亡率15%,總計損失1億美元。發病季節是夏季,水溫達到25℃以上時開始,且發病率高的池塘其放養密度大。大部分發病池塘混養羅非魚與鯔魚,比例17:3,僅有羅非魚發病。病理切片顯示腦組織發炎,膠質細胞增生,血管周圍淋巴細胞輕度聚集;輕度慢性腦膜炎;肝組織呈慢性肝炎,多壞死灶;腎組織中度病變,多壞死灶,腎間質出血(圖11、12、13)。病魚體表淺層出血、發炎、水腫。 圖11 腦組織發炎 (圖片來源:Fathi M, Dickson C, Dickson M, et al. Identification of Tilapia Lake Virus in Egypt in Nile tilapia affected by ‘summer mortality’syndrome[J]. Aquaculture, 2017, 473: 430-432.) 圖12 慢性肝炎,多壞死灶 (圖片來源:Fathi M, Dickson C, Dickson M, et al. Identification of Tilapia Lake Virus in Egypt in Nile tilapia affected by ‘summer mortality’syndrome[J]. Aquaculture, 2017, 473: 430-432.) 圖13 腎間質出血 (圖片來源:Fathi M, Dickson C, Dickson M, et al. Identification of Tilapia Lake Virus in Egypt in Nile tilapia affected by ‘summer mortality’syndrome[J]. Aquaculture, 2017, 473: 430-432.) 【關鍵字】: 水產養殖 |

| 重點推薦 |
| |
免責聲明:
1、凡本網注明“來源:水產前沿網”的所有作品,均為水產前沿網合法擁有版權或有權使用的作品,未經本網授權不得轉載、摘編或利用其它方式使用上述作品。已經本網授權使用作品的,應在授權范圍內使用,并注明“來源:水產前沿網”。違反上述聲明者,本網將追究其相關法律責任。
2、凡本網注明“來源:XXX(非水產前沿網)”的作品,均轉載自其它媒體,轉載目的在于傳遞更多信息,并不代表本網贊同其觀點和對其真實性負責。
3、如本網轉載涉及版權等問題,請作者在15天內來電或來函與水產前沿網聯系。聯系方式:020-85595682。
